实验介绍
DBP作为广泛存在于人们日常生活及生产中的一种价廉实用的增塑剂,也是一种环境污染物,它属于环境内分泌干扰物中抗雄激素一类,作用机制类似氟他胺,但不完全相同。DBP对动物具有明显的睾丸毒性、胚胎毒性和致生殖畸形等,它可导致机体睾酮水平明显下降,造成睾丸、附睾、附属性腺及外生殖器等出现睾丸萎缩、隐睾、附睾发育不良甚至缺如、尿道下裂等雄性生殖系统病理性损害。除采用氟他胺、DES及DBP能导致动物发生尿道下裂外,苯甲酸酯和阿司匹林也可以诱导小鼠尿道下裂畸形。由于临床尿道下裂患者常伴有体内性激素尤其是雄激素代谢异常,所以尿道下裂模型多与药物影响动物机体内的激素水平有关。尿道下裂不仅是机体局部表现的畸形,也是内分泌系统病变的局部表现;药物诱导尿道下裂可能主要是宫内胎仔腹侧尿道上皮细胞发育时,其凋亡和增生活动改变的结果。因此,诱导尿道下裂的定位与药物暴露时的胎龄密切相关。采用DBP 诱导建立的大鼠尿道下裂模型,为临床上小儿先天性尿道下裂的病因学研究及环境污染因素与尿道下裂发病率之间的关系提供了科学的动物实验依据。
材料和方法
SD大鼠(雌雄皆有,3月龄)
造模方法:受孕后DBP玉米油溶液灌胃,18天后成功制备尿道下裂模型。
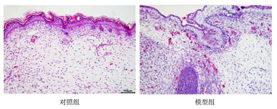
评价指标:HE染色
验证
尿道HE染色
