实验介绍
透射电子显微镜(transmission electron microscope,TSE)是利用透射电子成像,因而要求样品极薄厚度不能超100nm。其结构包括三大部分:电子学系统、真空系统和电子光学系统;扫描电子显微镜 (scanning electron microscopy,SEM) 是利用聚焦的非常细的高能电子束在试样上扫描,激发出各种物理信息。通过对这些信息的接受、放大和显示成像,获得测试样表面形貌的观察。其结构由真空系统,电子束系统以及成像系统组成。
货号 | 名称 | 规格 | 价格 |
PA2007 | 透射电镜全套(包埋 制片 拍照) | 样 | 700 |
实验流程
包埋-制片-拍照
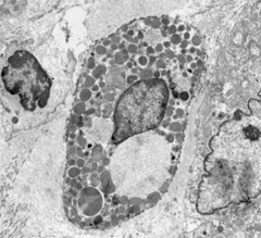
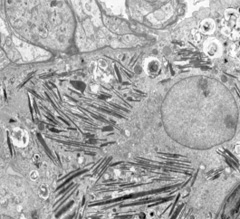
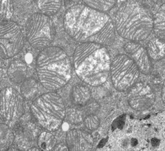
结果展示

送样运输要求
送样时请下载详细填写附件中的送样单并与样品一起送达皮诺飞生物超微病理实验室。
1、 动物组织样本
① 1-3min内取样,取材前可提前准备装有电镜固定液的培养皿,将小组织块离体取下后立即投入培养皿内,用手术刀在培养皿的固定液中进行切割成小块,取样组织体积控制在以下尺寸(1mm×1mm×1mm正方体、1mm×1mm×3mm长方体状、1mm×2mm×3mm薄片状)。固定液渗透能力有限,超出此范围后组织会无法完全固定,后续实验无法完成,务必请重视此过程
② 取材时尽量精确到需要观察的目的部位(如观察肾小球取肾皮质;观察胰岛取胰岛丰富的胰尾;皮肤,肠胃等在固定液中易打卷的组织可将组织粘在滤纸上进行固定)。
③ 取材时一定注意避免镊子挤压等机械损伤,刀片要锋利避免挫伤组织。
④ 组织取下后立即投入电镜固定液内室温避光固定2h,再转移至4°保存,4°冰袋运输,在保存和运输过程中固定液切勿冷冻结冰。4°时样本可保存1个月左右
2、 植物组织样本
① 取材要求同动物组织样本。
② 组织投入固定液后需要进行真空抽气让组织沉底,如无条件抽气可用滤纸将组织塞进固定液内,组织不能漂浮在固定液表面。(抽气做出来的效果会好一些)
3、 细胞样本
贴壁细胞:
(看细胞凋亡的,需要把培养液中的细胞也离心收集后固定)
方法一:消化法(实验目的不涉及观察细胞膜相关的内容如:观察紧密连接)
①培养好的细胞(细胞密度不超过70%)弃培养基,加入胰酶消化。
②胰酶消化好后(时间不宜过长),加培养基终止消化,吸管轻轻吹打至细胞起浮。吸入离心管,低速离心(不超过3000转),3-5min左右,细胞团要有绿豆大小。
③弃上清,加入电镜固定液(固定液需提前恢复至室温),细胞团吹散重悬。
④室温避光固定30min,再转移至4°保存,4°冰袋运输,在保存和运输过程中固定液切勿冷冻结冰。
方法二:刮取法
①培养好的细胞(细胞密度不超过70%)弃培养基,加入电镜固定液(固定液需提前恢复至室温)。
②常温避光固定5min左右,用细胞刮(或软橡胶盖切得平整小方块)沿一个方向轻轻刮下细胞,切记不要反复刮,避免细胞刮破。
③用巴氏吸管把细胞液吸入离心管内,放入离心机(不超过3000转),低速离心3-5min左右,细胞团要有绿豆大小。
④弃固定液后加新的电镜固定液,细胞团吹散重悬。
⑤室温避光固定30min,再转移至4°保存,4°冰袋运输,在保存和运输过程中固定液切勿冷冻结冰。
悬浮细胞:离心收集细胞要肉眼可见细胞沉淀有绿豆大小,弃培养基后加电镜固定液室温避光固定30min,再转移至4°保存,4°冰袋运输,在保存和运输过程中固定液切勿冷冻结冰。
4、 细菌样本
长于固体培养基的细菌:连带着培养基一起挑下细菌放于电镜固定液内室温避光固定30min,再转移至4°保存, 4°冰袋运输,在保存和运输过程中固定液切勿冷冻结冰。
悬浮细菌孢子等:离心收集细菌要肉眼可见细菌沉淀绿豆大小,弃培养基后加电镜固定液室温避光固定30min,再转移至4°保存,4°冰袋运输,在保存和运输过程中固定液切勿冷冻结冰。
5、 病毒
破碎组织细胞,粗离心去除细胞碎片取上清,超速离心分离出病毒(病毒提取的过程需要客户自己完成)。用缓冲液(如PBS)悬浮病毒,体积至少50ul,远距离干冰冻存运输,近距离4°保存运输,尽快滴片做负染后及时电镜观察拍照。(噬菌体 4度运输)
6、 外泌体囊泡等
客户自己完成外泌体囊泡等的提取收集,用缓冲液(如PBS)或者试剂盒中的保存液悬浮,,体积至少50ul,远距离干冰冻存运输,近距离4°保存运输,尽快制片做负染后及时电镜观察拍照。(因此类样品极易降解,样品越新鲜越好,最好数小时内完成滴片负染,否则做出的效果很不理想甚至完全观察不到)
7、 纳米材料等无机材料
直接准备粉剂,或用纯水或无水乙醇悬浮,常温保存运输即可(需要超声的备注)。做负染后电镜观察拍照。